Teilmatrizen und die Restauration der Klasse II Direkt-Kunststofffüllungen (Composite)
Klasse II (interproximale) Karies und/oder eine mangelhafte Füllung, zugehörig zu einer seitlichen Proximaloberfläche, findet man immer noch alltäglich in den meisten Zahnarztpraxen. Viele dieser Probleme können durch das Benutzen von direkt platzierten Füllungsmaterialien behandelt werden. Es war schon immer eine Herausforderung für den Zahnarzt, einen Kontakt zum benachbarten Zahn herzustellen und gleichzeitig eine saubere interproximale anatomische Form angesichts der Begrenzungen von konventionellen Matrizensystemen zu restaurieren. Die Dicke des Matrizenbandes und die Fähigkeit den Zahnhalteapparat des zu behandelnden Zahnes als auch des benachbarten Zahnes zusammenzudrücken, gestaltet die Restauration beim proximalen Zahnkontakt manchmal im besten Falle schwierig.
Die Morphologie der proximalen Oberfläche der Seitenzähne
Anatomisch ist die seitliche proximale Oberfläche okklusal konvex und gingival konkav. Der proximale Kontakt ist in die bukkolinguale Richtung elliptisch und etwa 1 mm apikal von der Höhe der Randleiste entfernt. Da die Oberfläche des Zahnes gingival von der Kontaktstelle in Richtung der Zahnschmelzzementgrenze verläuft, existiert eine Einbuchtung, die die Interdentalpapille beinhaltet. Konventionelle Matrizensysteme sind aus dünnen, flachen Metallstreifen, die um den zu restaurierenden Zahn zirkumferenziell angelegt und mit einer Art Haltevorrichtung befestigt werden. Während der Kontakt mit dem benachbarten Zahn mit einem zirkumferenziellen Matrizenband hergestellt werden kann, ist es jedoch praktisch unmöglich, die natürliche konvexe/konkave Anatomie der seitlichen proximalen Oberfläche aufgrund der dazugehörigen Einschränkungen dieser Systeme wiederherzustellen. Versuche die Matrizenbänder mit elliptischen Instrumenten zu „formen“ oder zu „glätten“ hilft vielleicht einen nicht-anatomischen Kontakt herzustellen, aber „deformiert“ und „beult“ die Matrizenbänder nur ein und stellt nicht die kompletten interproximalen Konturen wieder her. Ohne die Unterstützung der Zahnkontur könnte die Interdentalpapille den Zahnfleischzwischenraum möglicherweise nicht komplett ausfüllen, was zu potentiellen Haftstellen für Essensreste und zu einer Anhäufung von Zahnbelag in diesen Bereichen führt. Direkte Composite-Restaurationen der Klasse II können noch zu einer größeren Herausforderung bei der Anwendung werden, da harzige Materialien nicht fähig sind sich im selben Maß wie Amalgam an eine Matrize zu drücken.
Dieser Artikel beschreibt die Anwendung eines innovativen Teilmatrizen-Systems (Walser®, Vident, Brea, CA) und Instrumenten, die entworfen wurden um das Anlegen der Matrizen zu erleichtern um damit bestmögliche Ergebnisse zu gewährleisten, sowohl bei physiologischem Kontakt als auch bei der anatomischen Form. Durch Benutzen dieses Systems mit der aktuellsten Composite-Harztechnologie, können direkte zahnfarbene Composite-Restaurationen der Klasse II so gelegt werden, dass die natürliche anatomische proximale Form vorgewiesen werden kann und ein vorhersehbarer Proximalkontakt entsteht. 1-3
Zahnpräparation und das Zahn-Matrizen-Instrumentarium
Klasse II Präparationen die ein Matrizenband für die Wiederherstellung benötigen, erfordern den Wiederaufbau der Randleiste, des proximalen Kontakts und oft eines großen Teils der Interproximaloberfläche. Das Ziel einer Composite-Setzung ist die Anzahl der rotierenden Instrumente zum Konturieren und Fertigstellen gering zu halten. Das trifft vor allem auf die interproximale Oberfläche zu. Da der klinische Zugang zu dem proximalen Bereich beschränkt ist, ist es sehr schwer die Fläche zu formen und die Kontur wiederherzustellen. Die korrekte Rekonstruktion der Fläche hängt stark von der Form des Matrizenbandes und der akkuraten Platzierung des Bandes ab. 4
Nach der Entfernung des Karies und des alten Restaurationsmaterials wird die äußere Form des Hohlraumes bemessen. Wenn ein Teil des Proximalkontakts bleibt, ist es nicht nötig diesen zu entfernen. Es sollte so viel gesunde und unbetroffene Zahnstruktur erhalten werden wie möglich. Falls das Matrizenband durch den bestehenden Kontakt nicht leicht positioniert werden kann, kann der Kontakt durch einen Gateway® 30-µm Diamanten-Streifen (Brasseler USA, Savannah, GA) erleichtert werden.
Ein Teilmatrizen-System, wie das von Walser®, ist aus vielen Gründen eine hervorragende Wahl für die Composite-Restauration der Klasse II. Das Matrizenband ist anatomisch genau und die einzigartige Formgebung der Matrize ermöglicht wie beschrieben eine einwandfreie Wiederherstellung der interproximalen Anatomie. Die vielen unterschiedlichen Formen des Walser® Matrizen Systems ermöglichen einen akkuraten Sitz der Matrize bei der vorderen Wiederherstellung der Klasse 3 und 4, genauso wie bei Prämolaren, Molaren und benachbarten, sich berührenden Proximaloberflächen.
Fallbericht: Eine direkte Composite-Restauration der Klasse II
Der Patient stellt sich mit einem alten Composite der Klasse II vor, das auf der lingualen Seite des proximalen Abschnittes der Restauration Karies aufweißt (Abbildung 1). Nach der Entfernung des Füllungsmaterials, der zugehörigen Karies und der Vorbereitung der Form des proximalen Hohlraums, wurde der operative Bereich mit einem Kofferdam isoliert (Abbildung 2). Beachten Sie die überkonturierte proximale Restauration des benachbarten Zahns. Diese Fläche wurde vor dem Setzen der Matrize rekonturiert und poliert um einen idealen Proximalkontakt für die Restauration herzustellen (Abbildung 3).
Für diesen Fall wurde das Walser® Teilmatrizensystem ausgewählt um bei der Wiederherstellung der anatomischen mesial-proximalen Zahnform des maxillären ersten Prämolars zu helfen (Abbildung 4). Es wurde ein entsprechendes Matrizenband gewählt, das anatomisch am besten zu dem zu restaurierenden Zahn und der Breite und Höhe der Proximaloberfläche entspricht. Die Höhe der Teilmatrize sollte, wenn sie korrekt gesetzt wird, nicht höher als die benachbarte Randleiste sein. Beim Einsatz der Matrize befindet sich, aufgrund der konkaven anatomischen Form, der Proximalkontakt ungefähr 1 mm apikal zu der Höhe der Randleiste. Als nächstes wurde der gingivale Teil des Bands durch Gebrauch eines geeigneten FlexiWedge® (Common Sense Dental Products, Inc, Spring Lake, MI) stabilisiert und gegenüber der Cavo-Oberfläche versiegelt. Die Größe des flexiblen Keils sollte breit genug sein um den gingivalen Teil des Matrizenbandes gegen die Cavo-Oberfläche der Präperation zu versiegeln, während die gegenüberliegende Seite des Keils fest an der Fläche des benachbarten Zahnes sitzt. Falls sich nach Setzung des Kofferdam noch Öffnungen um den isolierten Zahn befinden, kann ein lichtgehärteter „flüssiger Dam“ (OraSeal® Ultradent Products, Inc, South Jordan, UT) verwendet werden um die Bereiche zu versiegeln und Verunreinigungen durch Speichel vorzubeugen.
Nachdem die Walser® Matrize richtig gekeilt und gesetzt wurde, kann der Restaurationsprozess beginnen. Es wurde eine 15-sekündige vollständig-ätzende Technik (10 Sekunden auf Schmelzrändern und 5 Sekunden auf Dentinflächen) mit 37%igen ätzender Phosphorsäure durchgeführt (Abbildung 5). Die Säure wurde anschließend für mindestens 15 bis 20 Sekunden abgespült um eine komplette Entfernung sicherzustellen (Abbildung 6). Die Präparation wurde danach luftgetrocknet und mit einem Aqua Seal™ G Desensibilisator (Aqua-Med Technologies, Inc, West Chicago, IL) erneut befeuchtet, um die Fläche des Loches zu desinfizieren, damit eine feuchte Fläche für die Klebung hergestellt werden kann und mit der ersten Auftragung des Hydroxyethylmethacrylates (HEMA) in den Dentinkanälchen begonnen werden kann (Abbildung 7). Als nächstes wurde ein Klebemittel der fünften Generation (OptiBond® Solo Plus™, Kerr Corporation, Orange, CA) auf die gesamte Kavitätenoberfläche aufgetragen (Abbildung 8). Durch Versprühen eines leichten Luftstroms über die Fläche der Präparation ist das Lösungsmittel verdunstet. Der Klebstoff wurde für 20 Sekunden lichtgehärtet.
Die erste Schicht des Composite wurde mit einem fließfähigen Composite (Beautifil® Flow F10, Shofu Dental Corp, San Marcos, CA) bei einer Dicke von ungefähr 0,5 mm gelegt (Abbildung 9). Das fließfähige Composite „floss“ in alle unregelmäßigen Bereiche der Präparation und bildete eine sauerstoff-hemmende Schicht, um die nachfolgenden Schichten aus Mikrohybridmaterial zu binden. Nach 20 Sekunden Lichthärtung folgte im nächsten Schritt das Legen des Mikrohybrid-Composite-Materials. Als erstes wurde das erste Inkrement aus Composite-Harz (Beautifil® II, Shofu Dental Corp) mit einer einfachen Dosierung in den proximalen Kasten der Präparation gelegt. Beautifil II wird vom Hersteller als ein „nano-hybrid Composite mit Freisetzung und Wiederaufnahme von Fluoriden“ beschrieben. Ein glattendiges Verdichtungs-Instrument (Goldstein FlexiThin Mini 4, Hu-Friedy, Chicago, IL) wurde verwendet um das Füllungsmaterial an die Innenseite der Teilmatrize und der Präparation anzupassen.
Ein kontaktformendes Instrument, wie das Trimax™-Composite-Instrument (AdDent Inc, Danbury, CT), kann, wenn nötig, bei der Herstellung einer „Composite-Brücke“ unterstützend wirken um die Matrize gegen den Nachbarzahn zu halten und einen Proximalkontakt herzustellen (Abbildung 10). Jedes Inkrement des Composite-Materials darf nicht dicker als 2 mm sein. Das bukkale Inkrement wurde dem Gesicht zugewandten Teil der Präparation einschließlich der Randleiste eingesetzt. Die Höckerausbuchtungen wurden geformt und die dazwischen liegenden Vertiefungen wurden mit einer FlexThin Mini4 hergestellt. Eine Nr. 2 Flat Keystone Bürste (Patterson Dental, St. Paul, MN) wurde leicht in Harz getaucht, mit einem 5 x 5 cm Schwamm gründlich getrocknet um das Material in Richtung der Ränder zu federn (Abbildung 12) und die Oberfläche des Composite zu glätten.
Das palatinale Inkrement aus mirkohybridem Composite (Beautifil II) wurde auf dieselbe Weise gelegt wie zuvor beschrieben (Abbildung 13 und 14). Nach Abschluss der Legung des Composite und vor dem Herausnehmen der Matrize wurde die Restauration mit einer LED Aushärtelampe (Translux Power Blue™, Heraeus Kulzer, Inc, Armonk, NY) lichtgehärtet (Abbildung 15 und 16).
Der Biss wurde nach dem Entfernen des Kofferdam durch ein Okklusionspapier überprüft und durch einen nadelförmigen Composite-Diamanten (Brasseler USA) nach Bedarf angepasst. Wenn man nach der beschriebenen Technik Composite-Materialien legt, sind, außer an den Randbereichen, nur noch kleine Nacharbeiten nötig. Gummipolierende Schleifmittel wurden verwendet um die angepassten Bereiche zu polieren. Nach einer 5-sekündigen Ätzung mit 37%iger Phosphorsäure an den Füllungsrändern (Abbildung 17), wurde die Oberflächenversiegelung (ClearCheck SLP, Shofu Dental Corp) mit der Nr. 2 Flat Keystone Bürste aufgetragen, luftverdünnt und 20 Sekunden lang lichtgehärtet.
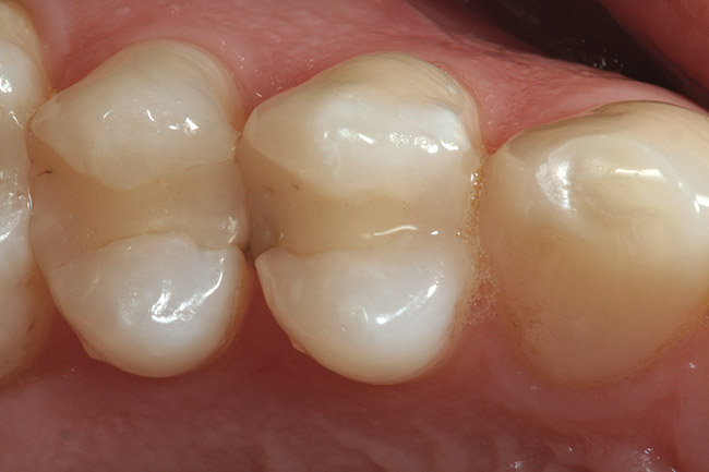
Oberflächenversiegelungen helfen mikroskopische Unebenheiten an den Rändern zu versiegeln, die möglicherweise nach der Fertigstellung und dem Polieren zurückbleiben. Die Abbildung 18 zeigt in einer okklusalen Ansicht die abgeschlossene Composite-Restauration der Klasse II. Beachten Sie den schönen Chamäleon-Effekt der durch die Nutzung eines Farbtons des Composite (Beautifil II) erzielt wurde und wie gründlich das Füllungsmaterial zu der benachbarten Zahnstruktur übergeht. 5,6
ZUSAMMENFASSUNG
Es wurde eine Technik beschrieben bei der ein Teilmatrizensystem (Walser®), ein passendes Instrumentarium und ein Nano-Microhybrid-Composite (Beautifil II) benutzt wurden, um eine anatomisch präzise Klasse II Composite-Seitenzahn-Restauration durchzuführen. Die interproximale Oberfläche wurde mit einer natürlichen, anatomischen Kontur und einem elliptischen Kontakt zu dem benachbarten Zahn wiederhergestellt. Mit einer sauberen okklusalen und proximalen Form wird diese „unsichtbare“ direkte Composite-Restauration den Patienten für viele Jahre davor bewahren wiederzukommen. 7

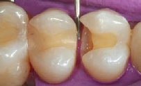
Ansicht 1 Die präoperative Okklusalansicht auf Zahn Nr. 5, welcher Rezidivkaries im lingual-proximalen Bereich einer 10 Jahre alten Harz-Composite-Restauration hat.

Ansicht 2 Nach der Isolation wurde die defekte Restauration entfernt und die Präparation wurde modifiziert, um die Rezidivkaries zu beseitigen. Beachten Sie die Überkonturierung der Composite-Restauration in Zahn Nr. 4 und wie dies half, eine Konkavität im distoproximalen Teil der Restauration (siehe Abbildung 1) herzustellen, die nun bei Zahn Nr. 5 ersetzt wird.

Ansicht 3 Ein ET® 3 (Brasseler USA) wurde verwendet, um die benachbarte Füllung zu konturieren, bevor die Zahn-Matrize auf den Zahn Nr.5 gesetzt wird.
Ansicht 4 Mithilfe der Matrizenzange wurde die Walser® Matrize (Nr. 6 für Prämolar-klein) um den präparierten Zahn gelegt. Falls die Zahn-Matrize nicht leicht durch den proximalen Bereich gleitet, erleichtern Sie den Kontakt mit einem 30μm Diamant-Streifen. Ein flexibler Keil half den gingivalen Boden des Proximalkastens fest gegen den Rand der Kavo-Oberfläche zu verschließen.

Ansicht 5 Es wurde eine 15-sekündige vollständig-ätzende Technik für Schmelz und Dentin benutzt. Beginnen Sie die Anwendung mit dem Ätzmittel zuerst nur auf dem Schmelz, anschließend fahren Sie auf dem Dentin damit für nur 5 Sekunden fort.

Ansicht 6 Das Ätzmittel wird für mindestens 15 Sekunden ausgespült (eine längere Zeit zum Ausspülen ist möglich). Danach wird die Präparation gründlich luftgetrocknet damit die komplette Feuchtigkeit beseitigt wird.

Ansicht 7 Es wurde ein Desensibilisierer gelegt um die Schmelz- und die Dentinoberflächen wieder zu befeuchten, damit die erste Auftragung mit HEMA und Fluoriden in die Dental-Tubuli möglich ist, was dabei hilft eine Form in die Hybridzone zu bringen.

Ansicht 8 Ein Adhesive der fünften Generation (OptiBond Solo Plus) wurde umfassend an den Schmelz- und Dentinflächen aufgetragen.

Ansicht 9 Eine dünne Schicht aus fließfähigem Composite (Beautifil Flow F10) wurde mit einer Sonde nicht dicker als 0,5 mm aufgetragen und verteilt, um das Dentin abzudecken und alle geometrischen Linien und Angelpunkte der Restauration zu füllen. Das Ziel bestand darin, einen engen Kontakt mit einer uniformellen dünnen Schicht aus Harz und dem getrockneten Klebstoff herzustellen, um die Möglichkeiten zur Hohlraumbildung zwischen Composite und der Klebemittel-Schicht zu verhindern. Trotz Härtung wird die sauerstoff-hemmende Schicht eine klebrige Oberfläche bilden, auf die sich die aufeinander folgenden Schichten des Composite-Harzes leichter adaptieren lassen mit weniger Chancen sich "zurückzuziehen".

Ansicht 10 Ein kontaktbildendes Composite-Instrument (Trimax) wurde benutzt um die Matrize zu drücken und das Composite an die benachbarte Proximaloberfläche anzupassen. Das Composite wurde anschließend an der Stelle ausgehärtet um eine „Composite-Brücke“ zu bilden, die einen starken Kontakt bei der Entfernung der Matrize garantiert.

Ansicht 11 Für die Legung des Inkrements des Composite (Beautifil II) beim Gesicht zugewandten Teil der Präparation, wurde eine FlexiThin Mini4 angewendet.

Ansicht 12 Eine Nr. 2 Flat Keystone Bürste wurde zum Glätten und zur Anpassung am Randbereich verwendet. Das trägt dazu bei den Umfang der Routinefertigung am Ende zu reduzieren.

Ansicht 13 Das linguale Inkrement kann gelegt werden, wenn das dem Gesicht zugewandte Inkrement gelegt und geformt ist.

Ansicht 14 Die FlexiThin Mini 4 wurde benutzt um die linguale (palatinale) Oberfläche der Restauration zu formen.

Ansicht 15 Das linguale Inkrement wurde für 30 Sekunden lichtgehärtet.

Ansicht 16 Okklusale Ansicht auf die fertige Restauration bevor die Matrize entfernt und die abschließenden Prozesse begonnen werden.

Ansicht 17 Nachdem die Okklusion eventuell nötige Anpassungen durchgeführt, die Ausarbeitung und das Polieren der Restauration abgeschlossen wurden, wird mit einer 5-sekündigen Ätzung der Randbereich gesäubert und anschließend mit Wasser und Luft getrocknet.

Ansicht 18 Okklusale Ansicht auf die fertige Restauration nachdem die Oberflächenversiegelung lichtgehärtet wurde.
Robert A. Lowe, DDS
Diplomate
American Board of Aesthetic Dentistry
Charlotte, North Carolina USA
REFERENZEN
1. Christensen GJ. Remaining challenges with class II resin-based composite restorations. J Am Dent Assoc. 2007;138(11): 1487-1489.
2. Boer WM. Simple guidelines for aesthetic success with composite resin—part 2: posterior restorations. Pract Proced Aesthet Dent. 2007;19(4):243-247.
3. Shuman I. Excellence in class II direct composite restorations. Dent Today. 2007;26(4): 102-105.
4. Brackett MG, Contreras S, Contreras R, et al. Restoration of proximal contact in direct class II composites. Oper Dent. 2006;31(1):155-156.
5. Lopes GC, Vieira LC, Araujo E. Direct composite resin restorations: a review of some clinical procedures to achieve predictable results in posterior teeth. J Esthet Restor Dent. 2004;16(1):19-32.
6. Lowe RA. Recreating nature using today’s composite materials. Restorative Quarterly. 2000;3(1):3-10.
7. Lowe RA. Morphologic and esthetic precision in the placement of class II direct composites. Contemporary Esthetics and Restorative Practice. 2004;8(5):28-30.
Hier sehen Sie wie einfach Walser Matrizen eingesetzt werden https://www.walser-dental.com/de/zahn-matrizen/clips-matrizensystem
